• 首页

  • 方案库

  • 工业品库

  • 招标项目库

  • 专家库

  • 人才库

会员中心
搜索
登录
注册
  • 方案名称

解决方案

数字化转型通用方案行业方案安全方案大数据人工智能物联网行业展望自动控制其他

产品|技术

白皮书产品介绍技术介绍技术创新模型算法

政策|规范

政策规范行动计划

电子书

电子书课件

报告|论文

报告模板论文
  • 全部
  • 人气排行
  • 下载排行
  • 页数排行
  • 最新排行

基于PLC的机械手自动化控制系统实现方法研究

随着可编程控制器应用技术的不断发展,PLC 的应用范围日益扩大,使得当今工程技术人员在设计电气控制系统时,考虑选用PLC控制取代接触器控制。本文重点分析了基于PLC的机械手控制系统的组成,并摊细叙述了在以PLC为核心的基础上,对步进电动机进行综合控制的软、硬件的实现方法,该系统利用步进电动机单位脉冲所具有的步进距离不变的特点,对其采用开环点位控制。因此可将整个运动视为折线运动,每一个动作可视为运动程序相同、特征参数各异的点位相对运动。其以起点作为参考点,通过脉冲计数得到日的点的位置,手动操作机械手从参考点运动到日的点后,保存目的点位的特征参数,并统进行列表管理。从而实现手动模式下运用关键点位输入及自动模式查表方式的“仿形”动作。

  • 2021-04-23
  • 阅读804
  • 下载2
  • 64页
  • pdf

儿童运动协调障碍AI诊断系统研究综述

运动协调障碍是儿童生长发育过程中的一种高发问题,严重影响儿童身心健康并对成年后的远期健康造成多种不良影响。随着人工智能的发展,可利用计算机视觉领域的人体姿态估计和动作识别技术辅助诊断这类疾病,有利于提升医疗普惠程度和医疗效率,对缓解医疗资源不足有着重要意义。报告了儿童运动协调障碍AI诊断系统的研究现状,介绍了儿童运动协调障碍的临床诊断方式,并基于此提出了计算机辅助诊断该类疾病的诊断技术路线,总结了人体姿态估计和动作识别任务的深度学习方法,分析了目前主流使用的人体姿态估计与动作识别任务评估指标与其对应数据集,讨论了其应用于计算机辅助诊断的问题及挑战

  • 2021-04-23
  • 阅读304
  • 下载0
  • 9页
  • pdf

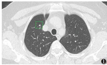
人工智能辅助低、高年资规培医师对CT肺结节检测效能的对比研究

目的:探讨不同年资规培医师在 CT 独立阅片及应用人工智能辅助阅片模式下对肺内结节的检测效能是否有差异,并分析低年资规培医师在应用人工智能辅助阅片后,能否达到高年资规培医师对肺结节的检测水平。 方法:收集 180 例患者的胸部 CT 图像,分别由 2 名低年资、2 名高年资规培医师进行独立阅片并标注肺结节,经过 2 周洗脱期后,再次对相同病例借助人工智能软件进行阅片并标注结节,记录结节的位置、大小、密度及标注时间。 将各组标记结果与金标准进行比较,记录真阳性、假阳性及假阴性结节数,计算结节检测敏感度及人均假阳性结节数。 采用 Kappa 检验分析低、高年资规培医师对肺结节检测的一致性,采用 Wilcoxon 秩检验(配对样本)比较低、高年资规培医师独立阅片及借助人工智能辅助阅片的诊断敏感度、人均假阳性结节数和阅片时间。

  • 2021-04-23
  • 阅读214
  • 下载0
  • 5页
  • pdf

AI时代的未来学校_机遇、形态与特征

面对具有“独特智慧”的人工智能(AI),未来学校很可能会变得不同,它也需要非常不同的解释。AI时代未来学校的机遇在于:首先,借助AI的技术赋能,推动实践创新;其次,藉由AI的思想智化,实现理论创新;再者,通过AI的管理赋权,尝试政策创新。以此为据,AI时代未来学校具有以下三种形态:第一,智能学校,在技术上表现为学校智能化+智能化学校;第二,智慧学校,在思想上表现为注重价值的阐释、超越技术的想象、积极主动的创新;第三,智联学校,在管理上表现为有可实现的共同目标、与环境密切互动、自主创新、自我迭代。而这也使得AI时代的未来学校具有人机一体、非线性、超学科、有选择的个性化等不同以往的特征。

  • 2021-04-23
  • 阅读253
  • 下载0
  • 8页
  • pdf

深度学习演进机理及人工智能赋能

人工智能正在深刻改变着人们的生产和生活方式,将逐渐成为推动科技与教育发展的重要力量。深度学习旨在追求学生高阶思维能力与创新创造能力的培养,是学习方式的重要变革,已成为教育领域研究与实践的一个热点。深度学习是认知结构与思维结构的不断转变与纵深发展的过程,迁移是深度学习的核心特征。堆积与分离是浅层学习的根源;新旧知识相容是同化与顺应作用机制发生的必要条件,同化与顺应是深度学习内部关联迁移的关键;重构与迭代是深度学习外部拓展迁移的动力源。人工智能赋能深度学习,可以激发学习兴趣与学习动机,促进新旧知识相容,助力跨领域知识重构与情境重构,提升学习者的整体特性,进而促进深度学习内部关联迁移与外部拓展迁移,实现学习者认知结构的不断转化,大力提升学习的效率与效果。

  • 2021-04-23
  • 阅读243
  • 下载0
  • 8页
  • pdf

康艾注射液联合DP方案治疗老年中晚期非小细胞肺癌近期效果及对患者免疫功能影响

目的 探讨康艾注射液联合 DP 方案治疗老年中晚期非小细胞肺癌(non-small cell lung cancer, NSCLC)的近期效果及对免疫功能的影响。 方法 选取老年中晚期 NSCLC 94 例,根据治疗方法不同将其分 为观察组(49 例)和对照组(45 例)两组。 观察组采用康艾注射液联合 DP 方案(顺铂联合吉西他滨)治疗,对 照组采用 DP 方案治疗,均连续治疗 4 个周期。 观察比较两组治疗后近期效果,治疗前后血清免疫指标和可 溶性白细胞介素-2 受体(SIL-2R),以及治疗期间毒副反应发生情况。

  • 2021-04-23
  • 阅读214
  • 下载0
  • 6页
  • pdf

转变观念_走出人工智能威胁论的误区

对人工智能威胁论的担忧集中体现于人类劳动、理性和控制技术的能力三个方面,其中有两大误 区:一是劳动和理性并非人类永恒的特征,二是控制技术本身就是人类的幻想。 误区之所以产生,是因 为人类对劳动和理性以及人类中心主义的旧观念在作祟。 为了更好地促进人工智能发展,就应当及时 转变观念,走出威胁论的误区,树立与人工智能“共生”的新观念,同时加速推进“人机共生时代”的社会 管理和治理制度的建设。

  • 2021-04-23
  • 阅读241
  • 下载0
  • 8页
  • pdf

电商、AI企业博弈物流机器人赛道

随着智慧物流时代的到来,物流机器人产品在物流行业的应用也越来越广泛。比如在仓储物流领域,工作效率更为出色的 AGV 机器人、码垛机器人、分拣机器人,已经在逐渐取代人力,承担起物流运输、配送等工作。

  • 2021-04-23
  • 阅读193
  • 下载0
  • 6页
  • pdf
上一页 1 …… 20012002200320042005200620072008200920102011 …… 2040 下一页 共 16314 条


立即登录

没有账户,需要注册

登录用户可享受以下权益
  • 免费下载方案
  • 服币提现
  • 发布方案得服币
  • 交易分成

精品推荐

国内重点工业物联网平台四类厂商分类及选型指南

国内重点工业物联网平台四类厂商分类及选型指南

  • 阅读179
  • 下载6

工业物联网平台的典型应用场景深度分析

工业物联网平台发展重点: 一是行业深耕化,从通用型平台向“一米宽、百米深”的行业垂直平台转型,聚焦能源、交通、化工等领域的特定需求,沉淀场景化解决方案与行业Know-how,而非追求“大而全”的覆盖能力。 二是智能融合化,工业大模型与平台深度结合,实现工业知识的智能化重构、应用开发的低代码化升级,以及生产运营的自感知、自决策、自优化闭环管控,AI成为提质增效的核心变量。 三是生态协同化,平台不再是单一技术载体,而是串联产业链上下游的协同中枢,通过跨系统数据融合、产学研用金深度合作,形成“数据-算力-应用”的生态闭环,赋能供应链协同与产业集群升级。 四是部署灵活化,采用“平台化产品+私有化部署”结合的模式,兼顾中小企业轻量化需求与大型集团定制化诉求,支持公有云、私有云、边缘端的混合部署,平衡成本与安全性。

  • 阅读231
  • 下载8

低空基础设施发展研究报告(2025)

当前,世界百年变局加速演进,新一轮科技革命和产业变革?深入发展,低空经济作为新质生产力的重要组成部分,正以前瞻?性、引领性姿态加速崛起,成为推动经济结构优化升级、塑造高?质量发展新动能的关键领域。

  • 阅读390
  • 下载1

华为数字化转型之道

首先从华为的视角总结了企业对于数字化转型的应有的共识,以及从战略角度阐述了华为为何推行数字化转型,然后给出了华为数字化转型的整体框架(方法论),以及企业数字化转型成熟度评估的方法,帮助读者在厘清华为开展数字化转型工作的整体脉络的同时,能快速对自身的数字化水平进行自检,

  • 阅读463
  • 下载4

最新上线

全球数字治理蓝皮书(2025)

全球数字治理蓝皮书(2025)全球数字治理蓝皮书(2025)全球数字治理蓝皮书(2025)全球数字治理蓝皮书(2025)全球数字治理蓝皮书(2025)全球数字治理蓝皮书(2025)

  • 阅读33
  • 下载0

人工智能赋能应用实践指南

当前,人类正处在新一轮科技革命和产业变革的历史关口,人工智能正以前所未有的速度重塑世界,为千行万业注入新动能。从工业制造的智能产线到农业生产的精准种植,从金融服务的智能风控到医疗健康的远程诊断,人工智能推动着生产效率的跃升与产业形态的迭代。正如《指南》所展望的那样,未来,随着网络通信、前沿算法、存储算力等多元技术的深度融合,以及海量数据与前沿知识的双重加持,人工智能将彻底突破单一技术工具的局限,蜕变为贯穿千行万业生产链条的关键枢纽,融入千家万户的日常起居,成为人类社会高效运转不可或缺的底层支撑。

  • 阅读29
  • 下载0

新能源场站无人值班建设方案

新能源场站无人值班建设方案新能源场站无人值班建设方案新能源场站无人值班建设方案新能源场站无人值班建设方案新能源场站无人值班建设方案新能源场站无人值班建设方案

  • 阅读38
  • 下载1

零碳工厂建设与热能高效利用一事一议破局“零碳”技术路线

零碳工厂建设与热能高效利用一事一议破局“零碳”技术路线零碳工厂建设与热能高效利用一事一议破局“零碳”技术路线零碳工厂建设与热能高效利用一事一议破局“零碳”技术路线零碳工厂建设与热能高效利用一事一议破局“零碳”技术路线

  • 阅读39
  • 下载0
  • 关于我们

    电话:029-8838-6725

  • 新闻资讯

    企业简介 新闻动态 品牌实力 代理合作 诚聘英才 联系我们

  • 中服云

  • 工业互联网风向标

  • 在线咨询

西安/北京/南京/重庆/合肥/厦门/甘肃 地址:陕西省西安市雁塔区鱼跃工业园慧康生物科技产业园7楼 电话: 029-8838-6725

版权所有 @ 中服云 陕ICP备11002812号
  • 扫码咨询

    或

    点击立即咨询
  • 客服咨询

  • 用手机扫二维码

    或

    复制当前地址

  • 问题反馈 中服大讲堂 客服电话

方案库赚钱指南